#tratamente
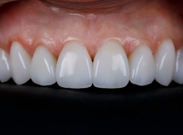
Fațetele dentare sunt una dintre cele mai rafinate soluții de estetică dentară disponibile astăzi. La D'Alba Dentistry din Alba Iulia, fiecare fatetă este gândită, proiectată și aplicată cu precizie - pentru un zâmbet care arată natural, nu „făcut".
Preparație minim invazivă
Testarea zâmbetului înainte de tratamentul final
Materiale ceramice premium
Zâmbet personalizat, adaptat feței tale
#ce sunt

Fațetele dentare sunt restaurări ceramice foarte subțiri, aplicate pe fața vizibilă a dinților, cu scop estetic și funcțional. Grosimea lor este comparabilă cu cea a unei lentile de contact ( între 0,3 și 0,7 mm), ceea ce le face una dintre cele mai minim invazive soluții de transformare a zâmbetului.
Spre deosebire de o coroană dentară, care acoperă întregul dinte, fațeta se aplică exclusiv pe suprafața frontală vizibilă, păstrând cât mai mult din structura dentară naturală. Rezultatul este un dinte care arată perfect, dar se comportă și se simte natural.
Fațetele dentare nu sunt o soluție „universală", ci o soluție personalizată. La D'Alba Dentistry, fiecare caz este analizat individual: forma feței, culoarea actuală a dinților, proporțiile arcadei, linia gingiei și așteptările pacientului sunt toate luate în considerare înainte de a propune un plan de tratament.

Fațetele dentare sunt recomandate atunci când pacientul își dorește un zâmbet mai luminos, mai armonios, cu formă corectată și proporții naturale, fără a apela la tratamente agresive. Sunt potrivite pentru o gamă largă de situații estetice, iar rezultatele sunt spectaculoase.
Dinți pătați sau colorați care nu răspund la albire
Există situații în care albirea dentară nu poate redresa culoarea, cum ar fi: dinți decolorați din cauza tetraciclinei, a fluorozei sau a unor tratamente endodontice anterioare. În aceste cazuri, fațetele ceramice oferă o soluție sigură și durabilă pentru obținerea culorii dorite.
Spații între dinți (diasteme)
Diastema, spațiul vizibil dintre incisivii centrali sau dintre alți dinți frontali, poate fi corectată elegant cu fațete dentare, fără tratament ortodontic, în funcție de dimensiunea spațiului și de situația clinică.
Dinți ușor strâmbi sau rotați
Atunci când alinierea dentară este ușor neuniformă, fațetele pot crea iluzia unui zâmbet drept și uniform, fără a fi nevoie de aparat dentar. Această opțiune este discutată întotdeauna cu pacientul în cadrul consultației, pentru a stabili dacă este potrivită din punct de vedere clinic.
Dinți scurtați prin uzură
Uzura dentară (cauzată de bruxism, aciditate sau vârstă) poate face dinții să pară scurți, inegali sau „îmbătrâniți". Fațetele refac lungimea și forma originală, redând zâmbetului un aspect tânăr și armonios.
Margini ciobite sau micro-fracturi
Un dinte cu marginea ciobită sau cu o mică fisură afectează întreaga estetică a zâmbetului. Fațeta acoperă și corectează aceste imperfecțiuni, protejând totodată dintele.
Asimetrii de formă și lungime
Dinți de mărimi sau forme diferite, precum dinți laterali prea mici sau incisivi centrali cu forme neregulate, pot fi uniformizați prin fațete, pentru un rezultat echilibrat și natural.

#de ce

Calitatea materialului din care este realizată fațeta determină în mod direct aspectul final și durabilitatea acesteia. La clinica noastră din Alba Iulia, lucrăm exclusiv cu materiale premium, selectate în funcție de situația clinică și de obiectivul estetic al fiecărui pacient.
Ceramică feldspată - oferă estetica maximă
Ceramica feldspată este materialul cu cea mai înaltă transluciditate disponibil pentru fațete dentare. Mimează perfect aspectul natural al smalțului, permițând luminii să pătrundă prin fatetă exact ca într-un dinte natural. Este alegerea ideală pentru pacienții care doresc cel mai natural rezultat posibil și la care preparația dentară minimă este fezabilă. Necesită o tehnică de laborator avansată și un dentist cu experiență în lucrări adezive.
Disilicat de litiu (Emax) - oferă echilibrul perfect
Emax este astăzi unul dintre cele mai folosite și apreciate materiale pentru fațete dentare la nivel mondial. Oferă un echilibru excelent între estetică și rezistență mecanică, fiind mai rezistent decât ceramica feldspată, dar la fel de estetic și translucent în mâinile unui tehnician bun. Este materialul pe care îl recomandăm în majoritatea cazurilor de fațete dentare la D'Alba Dentistry.
Zirconiu ultra-translucent - pentru situații speciale
Zirconiul ultra-translucent este o opțiune selectivă, indicată în cazuri specifice unde este nevoie de o rezistență mai mare sau unde există anumite constrângeri clinice. Generațiile moderne de zirconiu translucent au depășit reputația „albului opac" cu care era asociat zirconiul clasic și pot oferi rezultate estetice remarcabile.
Alegerea materialului se face împreună cu medicul și tehnicianul dentar, după analiza completă a cazului, și ține cont de culoarea dinților naturali adiacenți, de funcția ocluzală, de obiceiurile pacientului și de obiectivul estetic propus.
Tratamentul cu fațete dentare este un proces structurat, transparent și orientat spre detaliu. La clinica noastră din Alba Iulia, urmăm un protocol clar, în opt pași, pentru a ne asigura că rezultatul final corespunde întocmai așteptărilor tale.
1. Consultație + scanare intraorală + fotografii
Prima întâlnire este dedicată înțelegerii complete a situației tale dentare și a dorințelor tale estetice. Realizăm o scanare intraorală digitală și fotografii profesionale ale zâmbetului, din mai multe unghiuri. Aceste date stau la baza întregului plan de tratament.
2. Design digital al zâmbetului (Smile Design)
Pe baza scanării și a fotografiilor, medicul și tehnicianul nostru realizează un design digital al zâmbetului tău final. Poți vedea, pe ecran, cum vor arăta fațetele - culoarea, forma, lungimea, proporțiile - înainte de orice intervenție.
3. Prezentarea variantelor + aprobarea designului
Nu mergem mai departe fără acordul tău. Îți prezentăm variantele posibile, discutăm despre așteptări și preferințe, iar tu aprobi designul înainte de etapa următoare.
4. Mock-up - testarea zâmbetului înainte de tratamentul final
Considerăm mock-up-ul un pas esențial. Este o simulare fizică, aplicată direct pe dinții tăi, fără intervenție, care îți permite să „experimentezi" zâmbetul nou înainte de a-l face definitiv. Dacă forma, lungimea sau proporțiile nu sunt exact ce ți-ai imaginat, ajustăm înainte de a continua.
5. Pregătire minim invazivă (când este necesar)
Dacă prepararea dinților este necesară, se realizează la acest pas, cu o șlefuire minimă a suprafeței frontale. Obiectivul nostru este să conservăm cât mai mult din structura naturală a dintelui.
6. Lucrare provizorie
Pe durata realizării fațetelor definitive în laboratorul partener, vei purta fațete provizorii estetice. Nu vei ieși nicio zi fără un zâmbet prezentabil.
7. Probă + cimentare finală
Înainte de cimentarea definitivă, realizăm o probă finală a fațetelor ceramice - verificăm culoarea, forma, adaptarea marginală și confortul ocluzal. Doar după validarea completă se trece la aplicarea finală.
8. Control și recomandări de mentenanță
La câteva săptămâni după cimentare, te invităm la un control pentru a verifica integrarea fațetelor. Îți oferim și un ghid complet de îngrijire, pentru ca investiția ta să reziste cât mai mult timp.
#de ce noi

Fațetele dentare sunt, prin natura lor, o procedură care cere experiență, atenție la detalii și o colaborare strânsă între medic, pacient și laborator. Nu orice clinică stomatologică poate oferi rezultatele estetice pe care le vezi în portofolii, pentru că această diferență nu vine din echipament, ci din filozofia de lucru.
La D'Alba Dentistry din Alba Iulia, tratamentul cu fațete dentare urmează un protocol riguros, bazat pe comunicare transparentă, tehnologie digitală modernă și materiale de calitate superioară. Folosim sisteme de scanare intraorală de ultimă generație și dedicăm timp real fiecărui pacient - pentru că un zâmbet frumos nu se improvizează și nu se grăbește.
Dacă ești în Alba Iulia sau în împrejurimi și îți dorești fațete dentare realizate cu precizie și grijă pentru detalii, te invităm să programezi o consultație la D'Alba Dentistry. Primul pas este simplu - iar rezultatul poate schimba cu adevărat felul în care te simți în fiecare dimineață când zâmbești în oglindă.

servicii






"Experiență excelentă la dentist! Echipa e super atentă, iar tratamentul a fost fără durere.”




Nu amâna îngrijirea zâmbetului tău. Programează-te astăzi și descoperă tratamente moderne, planificate împreună cu tine, pentru un rezultat nou, natural și de durată.
Sună-ne la
+40 743 868 112